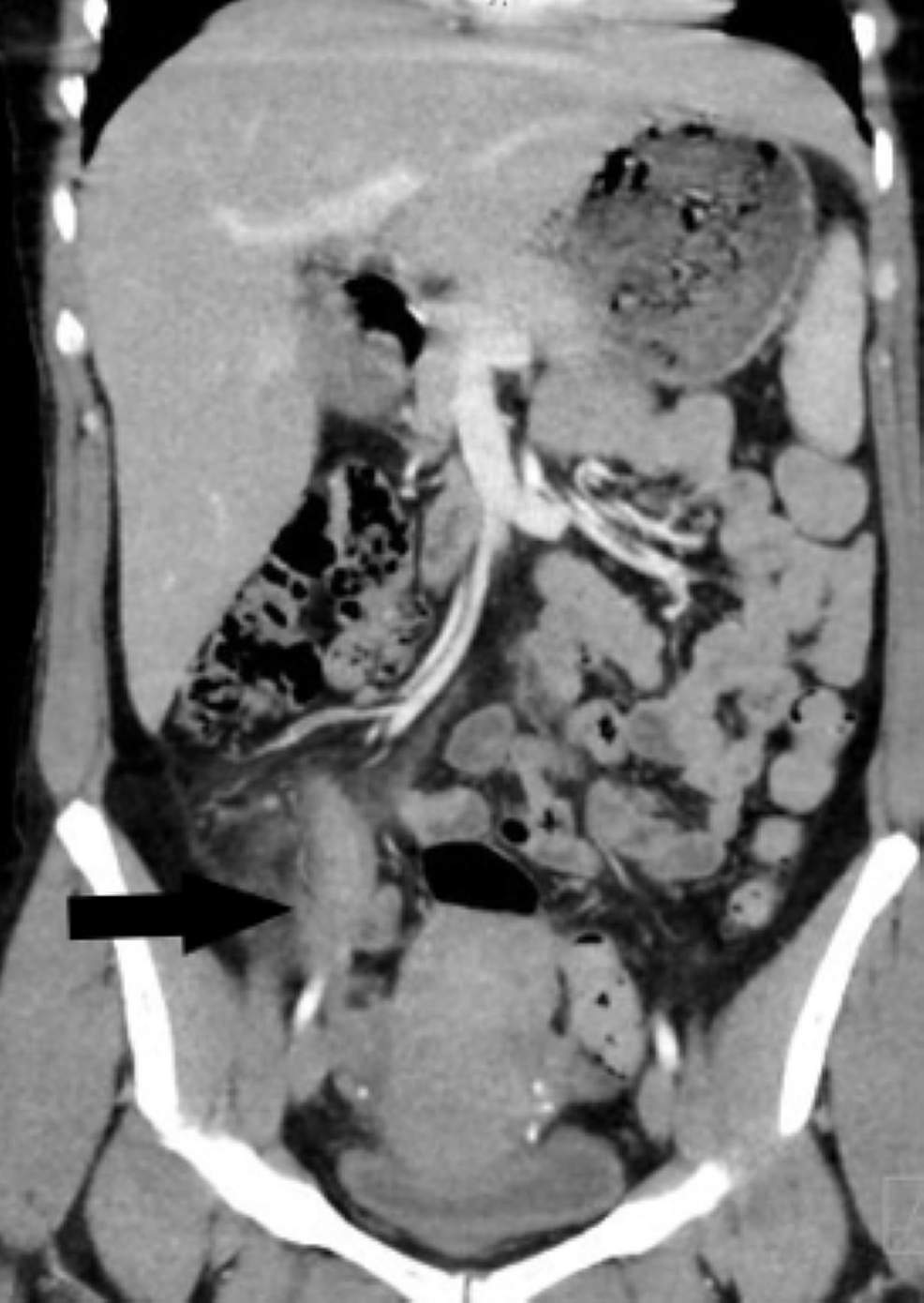
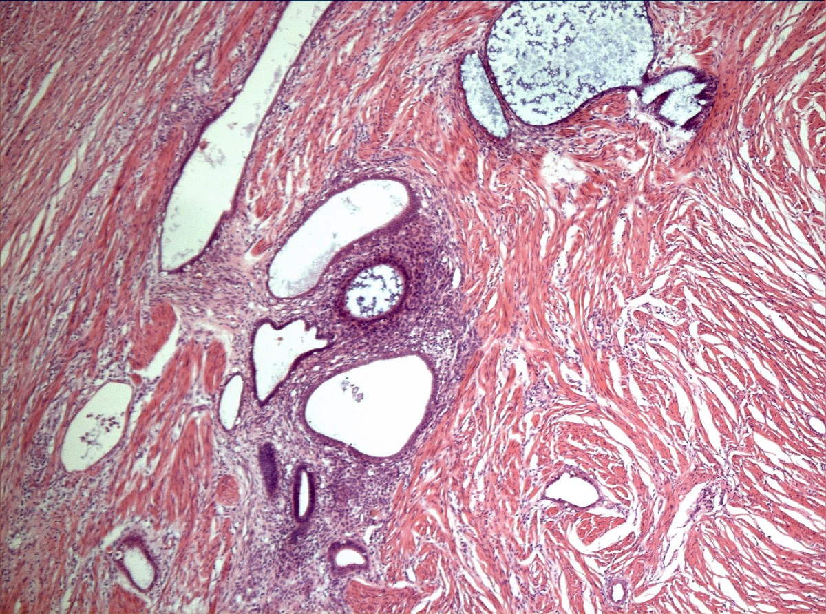
Endo On Appendix . acute appendicitis is the most common surgical diagnosis of abdominal pain in the right lower quadrant [1]. endometriosis of the appendix is uncommon. Its clinical presentation varies from asymptomatic to acute abdominal. we report a case of endometriosis of the appendix and review the literature regarding endometriosis of. endometriosis of the appendix (ea) has been identified in less than 1% of patients with pelvic endometriosis. In rare cases, endometriosis spreads to the appendix. sometimes it can even spread outside of the stomach or abdomen.
from casereports.bmj.com
acute appendicitis is the most common surgical diagnosis of abdominal pain in the right lower quadrant [1]. In rare cases, endometriosis spreads to the appendix. endometriosis of the appendix (ea) has been identified in less than 1% of patients with pelvic endometriosis. endometriosis of the appendix is uncommon. sometimes it can even spread outside of the stomach or abdomen. Its clinical presentation varies from asymptomatic to acute abdominal. we report a case of endometriosis of the appendix and review the literature regarding endometriosis of.
Endometriosis of the appendix presenting as acute appendicitis BMJ
Endo On Appendix Its clinical presentation varies from asymptomatic to acute abdominal. sometimes it can even spread outside of the stomach or abdomen. endometriosis of the appendix (ea) has been identified in less than 1% of patients with pelvic endometriosis. In rare cases, endometriosis spreads to the appendix. Its clinical presentation varies from asymptomatic to acute abdominal. endometriosis of the appendix is uncommon. acute appendicitis is the most common surgical diagnosis of abdominal pain in the right lower quadrant [1]. we report a case of endometriosis of the appendix and review the literature regarding endometriosis of.
From www.researchgate.net
(PDF) Acute appendicitis caused by endometriosis A case report Endo On Appendix endometriosis of the appendix (ea) has been identified in less than 1% of patients with pelvic endometriosis. In rare cases, endometriosis spreads to the appendix. we report a case of endometriosis of the appendix and review the literature regarding endometriosis of. Its clinical presentation varies from asymptomatic to acute abdominal. acute appendicitis is the most common surgical. Endo On Appendix.
From www.cureus.com
Cureus Accuracy of Computed Tomography in Differentiating Perforated Endo On Appendix acute appendicitis is the most common surgical diagnosis of abdominal pain in the right lower quadrant [1]. endometriosis of the appendix is uncommon. Its clinical presentation varies from asymptomatic to acute abdominal. endometriosis of the appendix (ea) has been identified in less than 1% of patients with pelvic endometriosis. sometimes it can even spread outside of. Endo On Appendix.
From sciencebasedmedicine.org
Appendicitis Surgical vs. Medical Treatment ScienceBased Medicine Endo On Appendix endometriosis of the appendix (ea) has been identified in less than 1% of patients with pelvic endometriosis. sometimes it can even spread outside of the stomach or abdomen. endometriosis of the appendix is uncommon. we report a case of endometriosis of the appendix and review the literature regarding endometriosis of. acute appendicitis is the most. Endo On Appendix.
From www.researchgate.net
(PDF) Endometriosis of appendix in women presenting with right lower Endo On Appendix we report a case of endometriosis of the appendix and review the literature regarding endometriosis of. sometimes it can even spread outside of the stomach or abdomen. Its clinical presentation varies from asymptomatic to acute abdominal. endometriosis of the appendix is uncommon. acute appendicitis is the most common surgical diagnosis of abdominal pain in the right. Endo On Appendix.
From medicine.nus.edu.sg
Appendix Normal Histology NUS Pathweb NUS Pathweb Endo On Appendix In rare cases, endometriosis spreads to the appendix. acute appendicitis is the most common surgical diagnosis of abdominal pain in the right lower quadrant [1]. we report a case of endometriosis of the appendix and review the literature regarding endometriosis of. Its clinical presentation varies from asymptomatic to acute abdominal. sometimes it can even spread outside of. Endo On Appendix.
From www.reddit.com
That feeling when you can’t tell if it’s an endo flair or appendicitis Endo On Appendix In rare cases, endometriosis spreads to the appendix. endometriosis of the appendix is uncommon. Its clinical presentation varies from asymptomatic to acute abdominal. endometriosis of the appendix (ea) has been identified in less than 1% of patients with pelvic endometriosis. acute appendicitis is the most common surgical diagnosis of abdominal pain in the right lower quadrant [1].. Endo On Appendix.
From endometriosisnews.com
What Is Endometriosis? Endo On Appendix we report a case of endometriosis of the appendix and review the literature regarding endometriosis of. sometimes it can even spread outside of the stomach or abdomen. acute appendicitis is the most common surgical diagnosis of abdominal pain in the right lower quadrant [1]. Its clinical presentation varies from asymptomatic to acute abdominal. In rare cases, endometriosis. Endo On Appendix.
From www.contemporaryobgyn.net
Noninvasive ultrasound diagnosis of endometriosis Contemporary OB/GYN Endo On Appendix acute appendicitis is the most common surgical diagnosis of abdominal pain in the right lower quadrant [1]. sometimes it can even spread outside of the stomach or abdomen. endometriosis of the appendix is uncommon. In rare cases, endometriosis spreads to the appendix. we report a case of endometriosis of the appendix and review the literature regarding. Endo On Appendix.
From www.youtube.com
Appendix Ultrasound Normal Vs Abnormal Image Appearances Appendicitis Endo On Appendix Its clinical presentation varies from asymptomatic to acute abdominal. endometriosis of the appendix (ea) has been identified in less than 1% of patients with pelvic endometriosis. In rare cases, endometriosis spreads to the appendix. sometimes it can even spread outside of the stomach or abdomen. endometriosis of the appendix is uncommon. we report a case of. Endo On Appendix.
From www.pathologyatlas.ca
Endometriosis involving the appendix Atlas of Pathology Endo On Appendix sometimes it can even spread outside of the stomach or abdomen. Its clinical presentation varies from asymptomatic to acute abdominal. acute appendicitis is the most common surgical diagnosis of abdominal pain in the right lower quadrant [1]. In rare cases, endometriosis spreads to the appendix. we report a case of endometriosis of the appendix and review the. Endo On Appendix.
From pubs.rsna.org
Transvaginal US of Endometriosis Looking Beyond the Endometrioma with Endo On Appendix endometriosis of the appendix is uncommon. Its clinical presentation varies from asymptomatic to acute abdominal. we report a case of endometriosis of the appendix and review the literature regarding endometriosis of. acute appendicitis is the most common surgical diagnosis of abdominal pain in the right lower quadrant [1]. endometriosis of the appendix (ea) has been identified. Endo On Appendix.
From www.cureus.com
Appendicitis Caused by Endometriosis Within the Bowel Wall Cureus Endo On Appendix acute appendicitis is the most common surgical diagnosis of abdominal pain in the right lower quadrant [1]. In rare cases, endometriosis spreads to the appendix. endometriosis of the appendix (ea) has been identified in less than 1% of patients with pelvic endometriosis. Its clinical presentation varies from asymptomatic to acute abdominal. endometriosis of the appendix is uncommon.. Endo On Appendix.
From dxotcefxd.blob.core.windows.net
Endo Belly Endometriosis at Joshua Lipps blog Endo On Appendix Its clinical presentation varies from asymptomatic to acute abdominal. we report a case of endometriosis of the appendix and review the literature regarding endometriosis of. In rare cases, endometriosis spreads to the appendix. acute appendicitis is the most common surgical diagnosis of abdominal pain in the right lower quadrant [1]. endometriosis of the appendix (ea) has been. Endo On Appendix.
From www.dreamstime.com
Appendicitis is Inflammation of Appendix. Girl Feel Abdominal Pain Endo On Appendix In rare cases, endometriosis spreads to the appendix. we report a case of endometriosis of the appendix and review the literature regarding endometriosis of. acute appendicitis is the most common surgical diagnosis of abdominal pain in the right lower quadrant [1]. sometimes it can even spread outside of the stomach or abdomen. endometriosis of the appendix. Endo On Appendix.
From www.cureus.com
Cureus Appendicitis Caused by Endometriosis Within the Bowel Wall Endo On Appendix endometriosis of the appendix (ea) has been identified in less than 1% of patients with pelvic endometriosis. acute appendicitis is the most common surgical diagnosis of abdominal pain in the right lower quadrant [1]. sometimes it can even spread outside of the stomach or abdomen. In rare cases, endometriosis spreads to the appendix. Its clinical presentation varies. Endo On Appendix.
From jmedicalcasereports.biomedcentral.com
Intussusception of the appendix secondary to endometriosis a case Endo On Appendix endometriosis of the appendix (ea) has been identified in less than 1% of patients with pelvic endometriosis. In rare cases, endometriosis spreads to the appendix. endometriosis of the appendix is uncommon. Its clinical presentation varies from asymptomatic to acute abdominal. acute appendicitis is the most common surgical diagnosis of abdominal pain in the right lower quadrant [1].. Endo On Appendix.
From intlwomensclinic.com
Endometriosis International Women's Clinic Endo On Appendix endometriosis of the appendix is uncommon. In rare cases, endometriosis spreads to the appendix. we report a case of endometriosis of the appendix and review the literature regarding endometriosis of. sometimes it can even spread outside of the stomach or abdomen. acute appendicitis is the most common surgical diagnosis of abdominal pain in the right lower. Endo On Appendix.
From www.sheknows.com
This Is What Endometriosis Does to Your Body SheKnows Endo On Appendix sometimes it can even spread outside of the stomach or abdomen. we report a case of endometriosis of the appendix and review the literature regarding endometriosis of. acute appendicitis is the most common surgical diagnosis of abdominal pain in the right lower quadrant [1]. endometriosis of the appendix is uncommon. endometriosis of the appendix (ea). Endo On Appendix.